マイクロスコープを使っての根管治療について、患者さんの同意のもと、症例を供覧いたします。
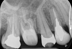
今回の症例は右上の6番目の歯の治療です。レントゲンを撮影すると根っこの先に黒い影ができております。
これは、歯の中で細菌が増殖し、体との免疫反応で骨が溶けている状態です。
歯の根の治療は、目的は単純で、歯の中の細菌を減らすこと、です。
ここで重要なのは、無菌にすることではないということです。
なぜなら、一度細菌に感染した場合、複雑な形態と構造ゆえに細菌を全て取り切ることができできません。
無菌にできないですが、体との免疫反応を起こさないくらいに細菌を減らすことができれば、根っこの先の溶けている骨は再生してきます。
しかし、どのような治療もそうですが、100%成功する治療は存在しません。
治療を行なっても治癒しないこともあります。
ですので、根本的に、虫歯をつくらないことが最も大切であります。
今回の治療のポイントを整理すると、
①歯には3つ根っこがある
②そのうちの一つに大きな根尖病変がある
③その根っこの先に治療の器具が折れている
④さらに、その根っこには、隠れている神経の管がありそう
ということです。
①は上の歯の奥歯ですので3つ根っこがあることが多いです。基本的に1つの根っこには1つの神経の管が通っています。
ですので、前歯と比べて治療する神経の管が多く、また奥にいくに従って、お口を開けるスペースが狭く、入れれる器具の大きさも制限されるので難易度が高くなります。
②はCT撮影でしっかりと確認することができるので、どの根っこが悪いのか、その根っこのどこが悪いのかを診断します。今回はほっぺた側の手前の根っこの先に病変があることがわかりました。
③ その病変がある根っこの先に、治療で使う器具が折れているのがわかりました。この器具の破折というのはどうしても細い器具を使用しないといけないので100%防ぐことはできません。折れないように十分注意しながら行なっておりますが、確率は低いですがどうしても起きてしまうことですので、折れた時にどうするかを考えておく必要があります。
折れた器具が原因で根尖病変をつくる可能性もありますが、基本的に滅菌している器具ですので、それ自体が感染源となる可能性が低いので、折れた場合は、まずは除去できるかトライしてみる、除去できない場合は、しっかり洗浄を行う、それでも根尖病変が治癒しない場合で、外科処置を行える場合は、外科処置を行う、または経過観察を行う、といった流れです。
今回の場合、CT撮影の結果より、病変の位置が破折器具と関係ない可能性が高いことが考えられました。
そこで④につながりますが、隠れている神経の管があることが予想されます。
この歯の、この根っこですが、1本の根っこの中にもう一つ神経の管があることが多い歯です。それも病変ができているところにある確率が高いので、そこを集中して観察することが必要となってきます。
そこで登場するのがマイクロスコープ。
はっきり言って肉眼では発見は不可能です。拡大鏡、ルーペを使用しても見つけることは難しく、本末転倒ですが、マイクロスコープを使用したから見つかるものではありません。
必要なのは、歯の形態を頭の中で3Dにして見当をつけ、そこにマイクロスコープを使用して探索するといった地道な手作業。
この治療は歯科治療の中でも最も嫌われる?治療と言われますが、理由がそこにあります。
根管治療をいかに丁寧に行うかが、歯科医師、歯科医院を選ぶとても大切なポイントだと考えております。
今回は破折器具の除去は行わず、隠された神経の管を探すことに時間を費やし、無事発見することができました。
これで、根っこの先の病変が縮小してくれれば、最終的な被せ物をつくっていく段階にうつります。
治癒しない場合は、外科的根管治療を行います。
今回の治療はマイクロスコープを使用しましたが、保険治療で行なっております。
3根管(3つ以上神経の管がある場合)以上など、保険適用でマイクロスコープを使用することが可能な場合があります。(かなり狭い範囲ですが)
保険治療で使用できる薬剤は決められておりますが、自費治療では症例に合わせて薬剤を変更しておりますので、そこが大きな違いです。
根っこの先の病変は、病巣疾患の原因になることもあり、全身の疾患に影響を及ぼすこともありますので、軽視せず、しっかりと検査を行うことをお勧めいたします。




































メニュー
診療科目